تقويم الأسنان و تقويم الأسنان الشفاف
تقويم الأسنان
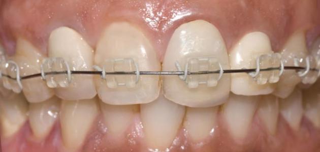
يتعرض الكثير من الناس للعديد من المشاكل والعيوب التي تصيب أحد الفكين أو كليهما الأمر الذي يترتب عليه ظهور الأسنان بمظهر أقل جمالا وذلك نتيجة عدم ترتيبها وانتظامها وغالبا ما يتم علاج هذه المشاكل بعد مراجعة طبيب الأسنان وتحديد المشكلة بشكل دقيق ومن أبرز آليات العلاج التي يتم اتباعها في مثل هذه الحالات تركيب تقويم الأسنان بأنواعه المختلفة والذي يمكن تعريفه أنه عبارة عن أسلاك وحاصرات مصنوعة من المعدن تثبت على الأسنان لفترة من الزمن يحددها الطبيب حسب الحالة المرضية ومدى تجاوب المريض للعلاج
تقويم الأسنان الشفاف
يعتقد الكثير من الأشخاص أن تقويم الأسنان يسبب لهم مشاكل أكبر من تلك التي تكون موجوة فعليا إذ يسبب الكثير من الحرج للعديد منهم لا سيما إذا كانوا ما دون العشرين من عمرهم ولتفادي هذه المشكلات حرص ذوو الاختصاص على ابتكار تقنية جديدة لتكون بديلا مناسبا لتقويم الأسنان العادي وهي تقويم الأسنان الشفاف ويتميز بأنه قطعة رقيقة متحركة مصنوعة من الأكريلك الشفاف
يصمم تقويم الأسنان بشكل خاص للأسنان التي تحتاج للتقويم ومن المهم تبديله بعد انتهاء كل مرحلة من مراحل العلاج وعادة ما تتراوح فترة العلاج بهذه التقنية ما بين ستة وأربع وعشرين شهرا وذلك تبعا لمدى صعوبة الحالة الموجودة
المميزات
- يحافظ على جمال ومظهر الأسنان إذ تصعب رؤيته
- تظهر نتائجه بسرعة مبهرة وذلك لأنه يحرك الأسنان بشكل مستمر إلى أن تصل للوضع الصحيح والمثالي
- لا يعيق تناول الطعام والشراب كما في تقويم الأسلاك المعدنية وبالتالي لا يحتاج المريض لإزالته في وقت الطعام أو عند تنظيف الأسنان
العيوب
بالرغم من مميزات تقويم الأسنان الشفاف الكثيرة إلا أنه كأي تقنية حديثة تظهر في أي مجال له بعض العيوب التي تقلل من أهميته وفعاليته العلاجية لا سيما على المدى البعيد وفيما يأتي أبرز عيوب تقويم الأسنان الشفاف
- تكلفته المادية عالية جدا مقارنة مع تقويم الأسنان ذي الأسلاك المعدنية
- يحتاج لعناية فائقة إذ لا يتناسب معه أي نوع من الطعام بل يجب اختيار أنواع محددة وذلك تجنبا لتمدده بفعل الحرارة أو تقلصه نتيجة البرودة نظرا لكونه مصنوعا من مادة بلاستيكية قابلة للتأثر بالحرارة
- قد لا تظهر أي نتائج للتقويم الشفاف لاسيما في المراحل الأخيرة مما يتطلب اللجوء للتقويم العادي
- لا يتناسب مع كافة الحالات المرضية فهو يتلاءم مع مشاكل اعوجاج الأسنان وميلها بشكل خاص











